Skip to main content
Home
About
About Our Practice
COVID-19 Office Safety Information
Dr. Ann E. Haggard
Dr. Lauren Eichblatt
Our Founder – Dr. Marcus D. Haggard
Our Team
Financing
Online Reviews
Dental Technology
Our Blog
Events
Specials
Comprehensive Care
Comprehensive Care Overview
Sedation Dentistry
Laser Dentistry
Sleep Apnea
Checkups and Cleanings
Family Care
Oral Exams
Digital X-Rays and Photography
Bite Alignment Analysis
TMJ Disorder
Oral Cancer Screening
Sealants
Fluoride Treatments
Night Guards and Sports Guards
Cosmetic Care
Cosmetic Care Overview
Trial Smile
Porcelain Veneers
Invisalign
®
Invisalign Teen
®
Teeth Whitening
Smile Makeover
Gum Recontouring
Tooth Colored Fillings
Dental Bonding
Reconstructive Care
Reconstructive Care Overview
Dental Implants
Dental Implants Cost
All-on-4
®
Implant Dentures
Dental Crowns
Tooth Extraction
Bone Grafting
Facial Aesthetics
BOTOX
®
PRF Microneedling
Smile Portfolio
Patient Stories
Before and After Photos
Contact Us
Download Our Rewards App
281-667-4010
Home
/
Gallery
/
Before and After Cases
/
Patient 1
Smile Gallery
Gallery
Patient 1
Next
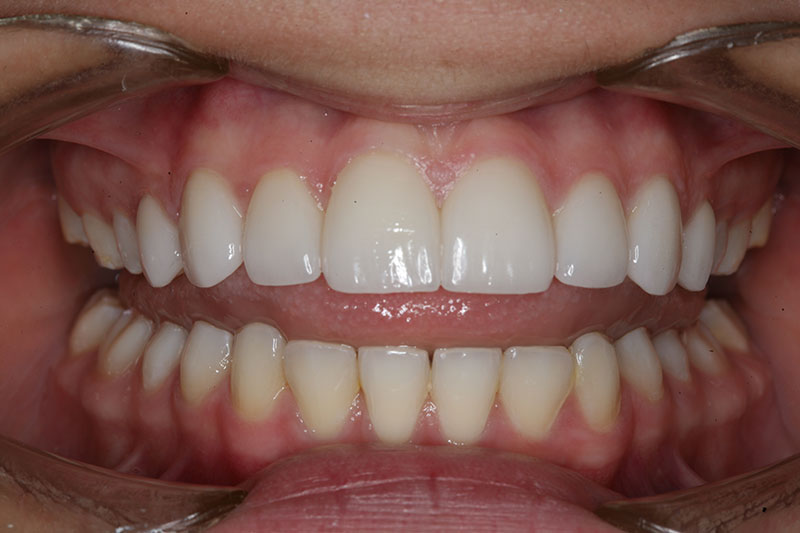
Before
After
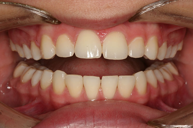
Before
After