Why Do My Teeth Look So Short?
While there is not one specific measurement of teeth necessary for a beautiful smile, the appearance of short teeth is generally not the best look. Short teeth tend to make someone look older than they actually are. The bottom line is that if you think your teeth appear to be too short, you should talk to Dr. Ann about it. It is important to first understand the reason they appear short, and only afterward discuss treatment options.
Why Do Teeth Look Short?
There are several different reasons teeth may appear to be too short in a smile. The underlying cause can be the natural form of the teeth, wear and tear over time, or too much gum tissues covering the teeth.
Natural Tooth Shape and Size are Disproportionate
There is no one “right” size of teeth. There is, however, a right proportion to the teeth. The tooth size can vary based on a person’s overall size. It makes sense that a tall man with a large head would not look proportionate with tiny teeth, just as a petite, thin woman would not look proportionate with large teeth.
Unfortunately, nature does not always get this right, and some people have naturally disproportionate teeth. It is possible that the size and shape of your teeth are just not right for the size and shape of your face and overall physique. While it is relatively uncommon, it is possible.
Wear, Flattening, Chipping
Most commonly, we see teeth that were naturally proportioned and then suffer from severe wear and tear over time. This leads to teeth that are flat, short, and often chipped on the biting edge. We see this flattening frequently in patients who clench or grind their teeth during sleep. Those who snore or suffer from sleep apnea are particularly prone to this type of damage.
Enamel is the hardest structure in the human body, made to withstand the forces of chewing throughout life. Unfortunately, when enamel grinds against enamel, the friction leads to loss of structure through either gradual wear (called attrition) or chipping. This type of damage is much worse when the enamel grinds against a foreign material such as porcelain.
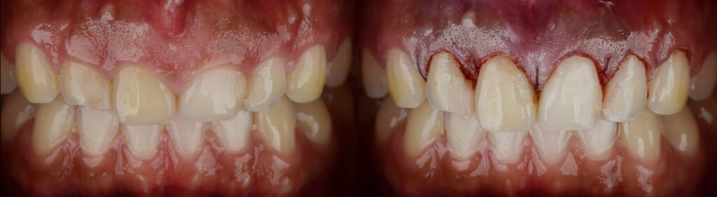
Excessive Gum Tissue
Sometimes the teeth are perfectly proportioned and have not suffered any shortening through wear and tear, but they still look short. This can happen when the gum tissues cover parts of the teeth that should be visible. In perfect gum anatomy, they should cover only two to three millimeters of enamel.
Some people simply have too much gum tissues, and they cover much more than two to three millimeters. This means that there is a healthy, naturally proportioned tooth hidden by excessive gums.
(The opposite is also true. When you lack enough gum tissues, the teeth can appear unnaturally long.)
How Can Cosmetic Dentistry Improve the Appearance of Short Teeth?
If you are unhappy with the appearance of your teeth, and you believe they are too short, your first step is a consultation with Dr. Ann. As we said earlier, we have to have a good grasp on the cause of the short appearance before proceeding with any treatment. This is because the treatment options are different depending on the underlying problem.
Treatment Options for Naturally Disproportionate Teeth
When teeth appear short because their natural size is disproportionate to the patient’s face and overall body size, cosmetic dentistry can help! It is important to work with a skilled and experienced cosmetic dentist to achieve the most natural result. Dr. Ann is such a dentist!
- Teeth with Natural Width but Short Length – These teeth will appear to be very square as opposed to a more natural rectangle with the shape being slightly longer than wide. If your teeth have a natural width, and you only need to increase the length, we can accomplish this by covering the teeth with veneers. Depending on how much length we need to add, this can sometimes affect the way the teeth bite together, requiring additional treatment to the lower or back teeth.
- Teeth Small in All Dimensions – If the teeth appear to be shorter in length and narrower in width than ideal, we may need to move the teeth before covering them. This allows us to create space between the teeth to achieve the best proportions for the veneers we use to produce the desired smile. In these cases, we will often begin with Invisalign orthodontic treatment to position the teeth before performing the covering veneers.
Treatment Options for Worn, Flattened, or Chipped Teeth
For this most common problem, we have a few treatment options. The goal is to rebuild or restore what has been lost. We can do this with various dental materials, and Dr. Ann will help you decide which option will best accomplish your goals.
For some people, treatment may involve simply restoring the lost length of the teeth with a perfectly matched, tooth-colored bonded dental restoration. This will help restore the prior appearance of the teeth before the damage occurred.
For others, we will cover the entire visible surface of the teeth and lengthen them with porcelain veneers. Often, veneers provide a more predictable and longer lasting result than “bonding” does.
Treatment Options for Excessive Gum Tissue
When the problem is excess gum tissues, the solution is a relatively simple removal of that gum tissue. Through detailed measurement in the mouth and from three-dimensional imaging of your teeth, Dr. Ann can determine the true size of your underlying teeth. If this investigation reveals beautifully proportioned teeth hidden by too much gingivectomy, she will prescribe a gingivectomy. This procedure removes the gums (the ones that should not be there in the first place) and uncovers the teeth.
This simple procedure can truly transform a smile without altering the teeth in any way.
More Questions about Short Teeth?
Call Designer Smiles today to schedule a cosmetic consultation with Dr. Ann. She can evaluate your situation and help you begin the process of improving your smile.